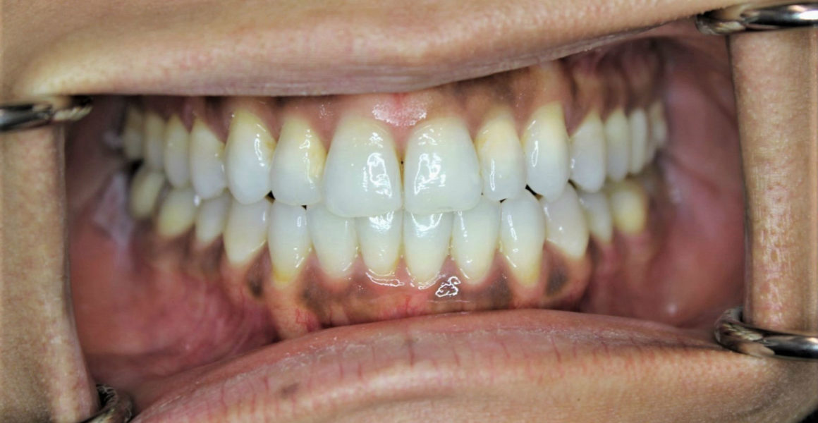
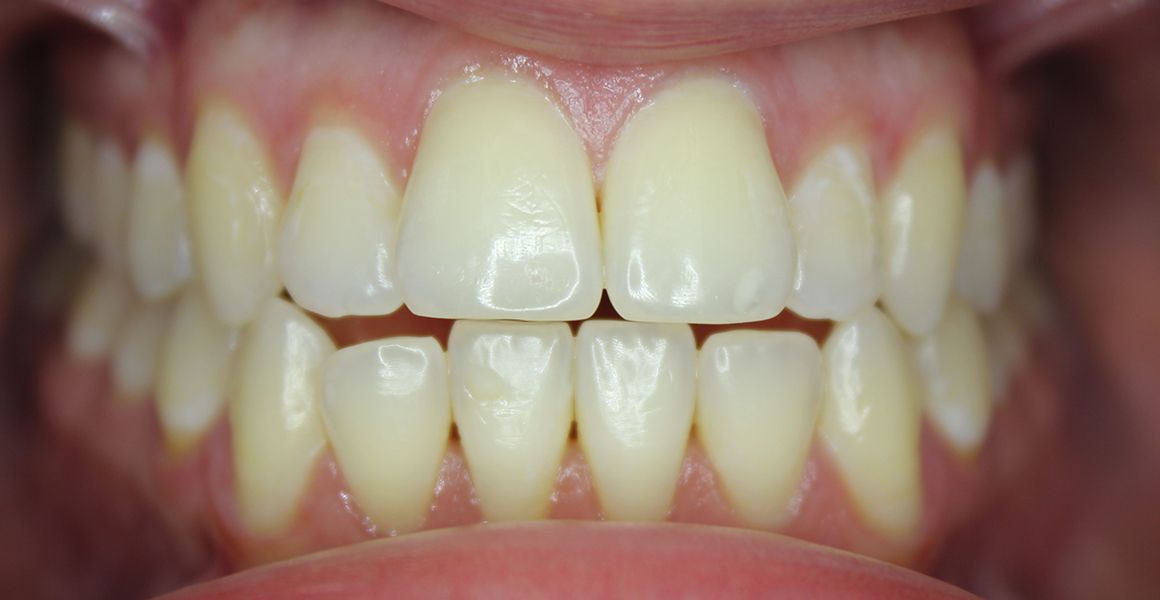
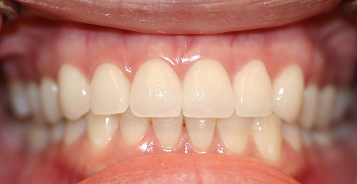
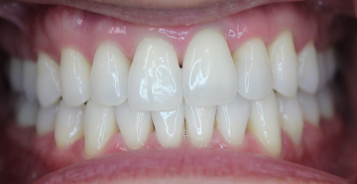
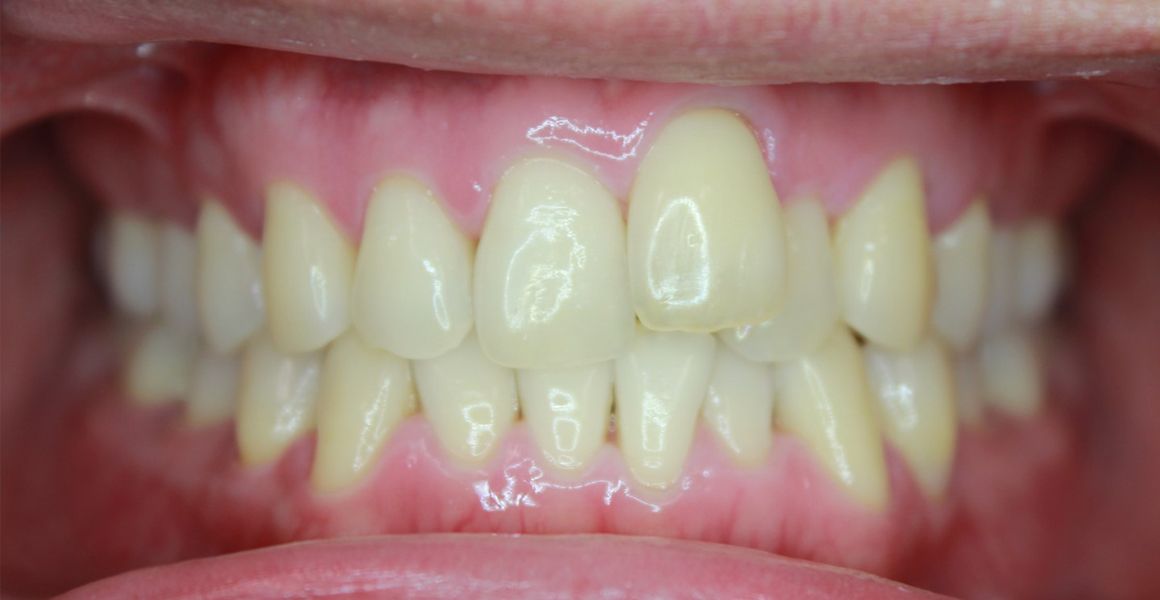
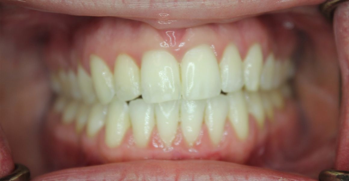
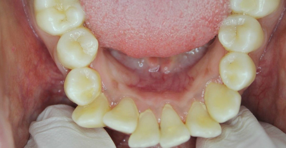
Invisalign
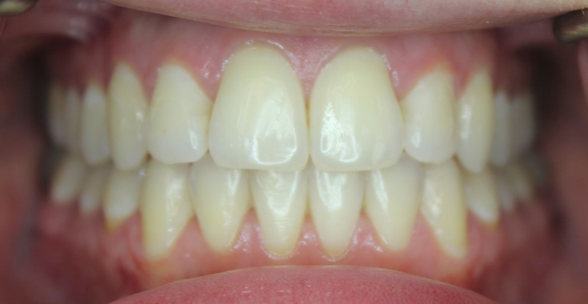
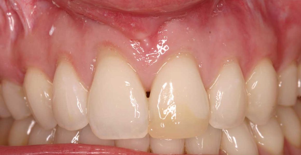
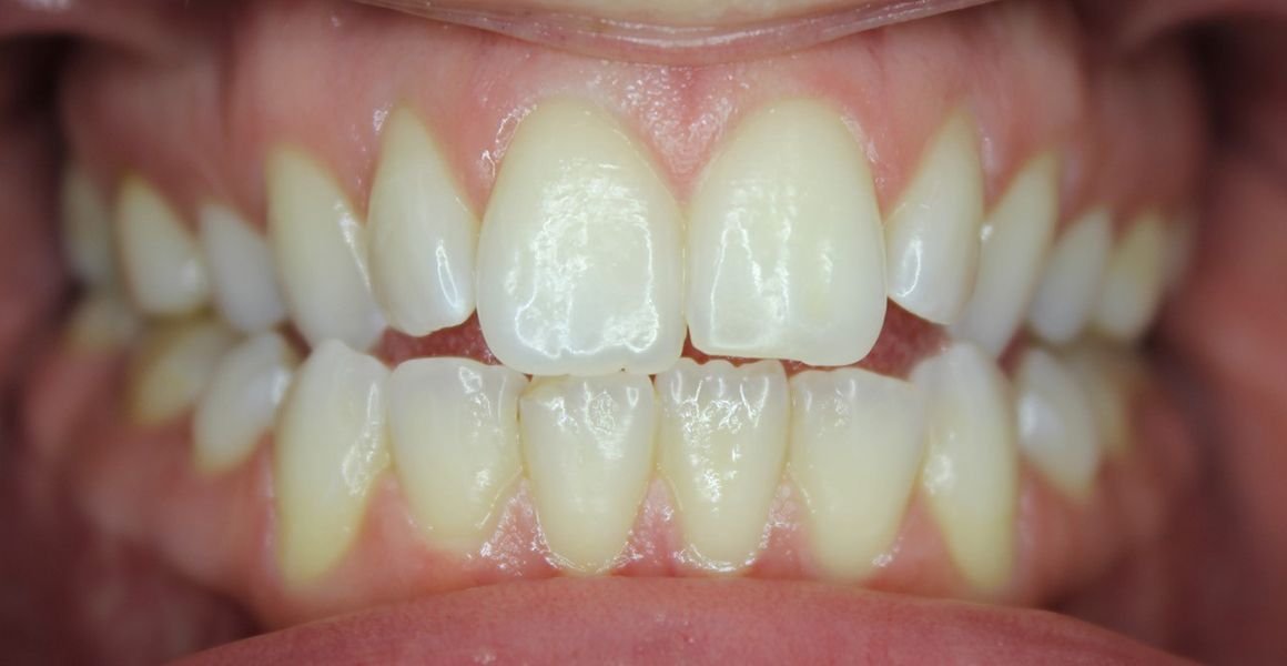
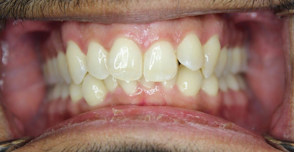
Invisalign is a great alternative for adults who need of correct malocclusion. Dr. Ben Ahn is a VIP Diamond Plus Invisalign NYC dentist, who was nominated as a semi-finalist in 2017 Invisalign Summit. He corrected many smiles with Invisalign for an open bite, overbite, gaps, crowding, crossbite. To see more Invisalign before & after photos click on Learn More.







